下巴總是喀啦一聲?她終於發現,這不是小毛病
小芸,31 歲,是一位平面設計師,工作時長時間用電腦、咀嚼時習慣偏一邊。但她總覺得嘴巴張開會有聲音,有時甚至打不太開。雖然沒有明顯疼痛,但這個彈響讓她越來越焦慮。
她只是想改善頭痛,卻讓整張臉都回到正軌
32 歲的小安,是一位每天都對著電腦的行銷人。她從學生時期就有偏頭痛,後來加上肩頸僵硬、嘴巴張不太開,晚上還會咬牙磨牙。最困擾她的,是照相時發現自己的臉越來越歪,下巴也越來越往左偏。
她曾去看過神經內科、牙科、中醫、甚至骨科,但檢查都說「沒問題」。吃了藥、打了針,問題還是一樣。
打哈欠打到卡住?她以為是巧合,其實是下顎已經求救了
惠惠,今年 38 歲,是一位瑜珈老師。外表健康、柔軟度極佳,但她卻長期有一個困擾:嘴巴常常張不開,尤其在吃大一點的食物或打哈欠時,下顎會「喀」一聲,有時甚至會卡住,需要用手托回來。
這樣的情況越來越頻繁,讓她連吃東西都不自在,更擔心有一天完全閉不上嘴。
牙齒美容陶瓷貼片xx

牙齒美容陶瓷貼片 – 全方位牙齒美學權威 張智洋醫師
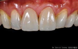
陶瓷貼片案例3 側門牙,虎牙xx

陶瓷貼片案例3 側門牙,虎牙 – 全方位牙齒美學權威 張智洋醫師
陶瓷貼片案例3xx

陶瓷貼片前 Before 陶瓷貼片後 After 陶瓷貼片完成 陶瓷貼片前 Before 陶瓷貼片後 […]